Receding Gum Treatment
Whether your gums have receded from brushing habits, genetics, gum disease, or age, we’re here to help you protect your smile and your overall oral health.
Restore Your Smile. Protect Your Health.
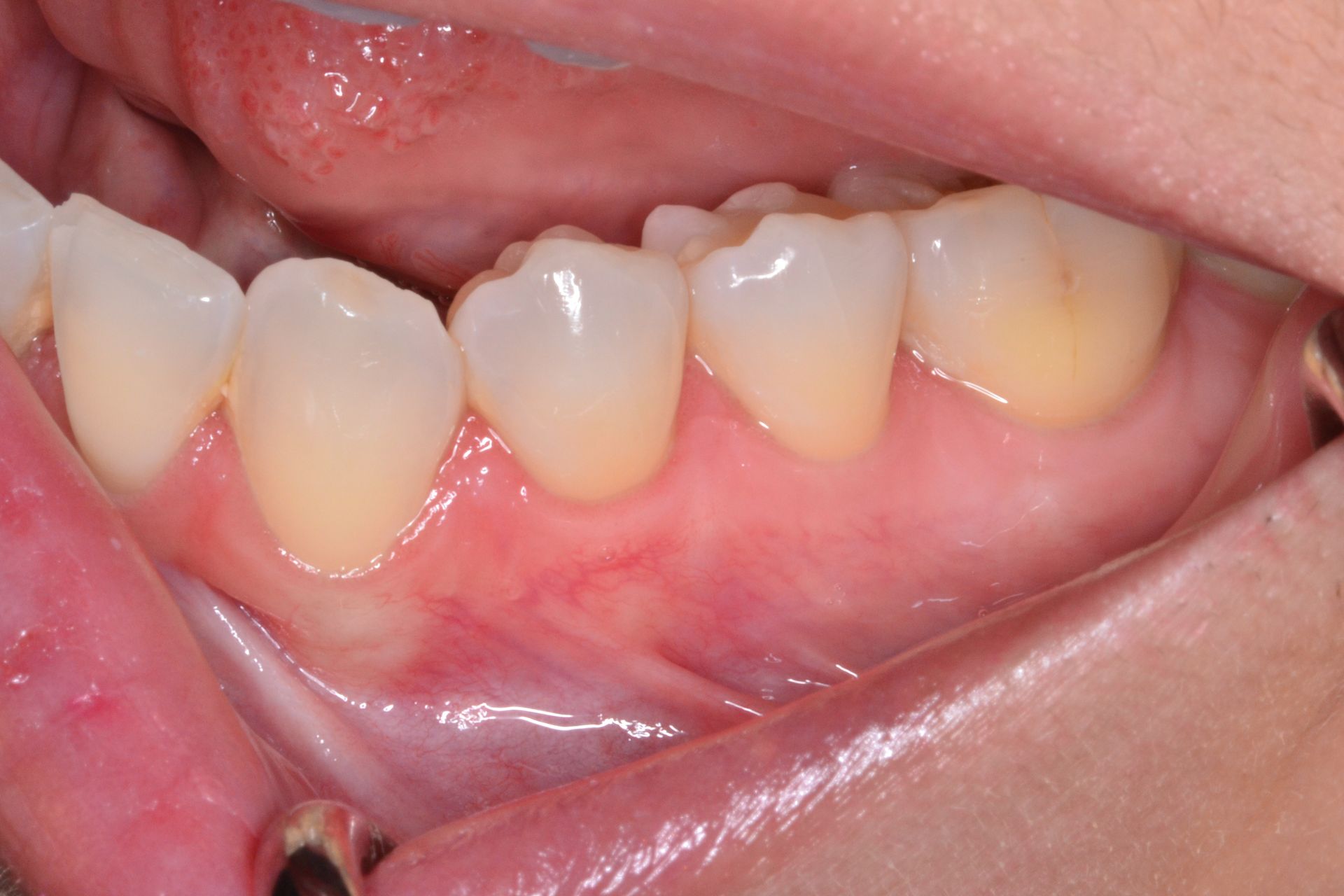
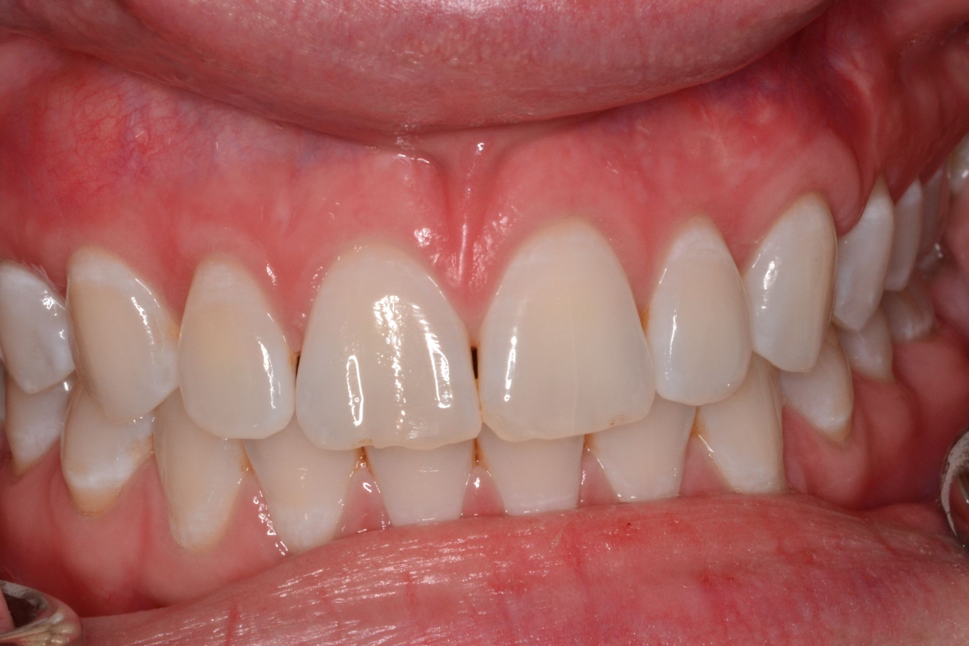
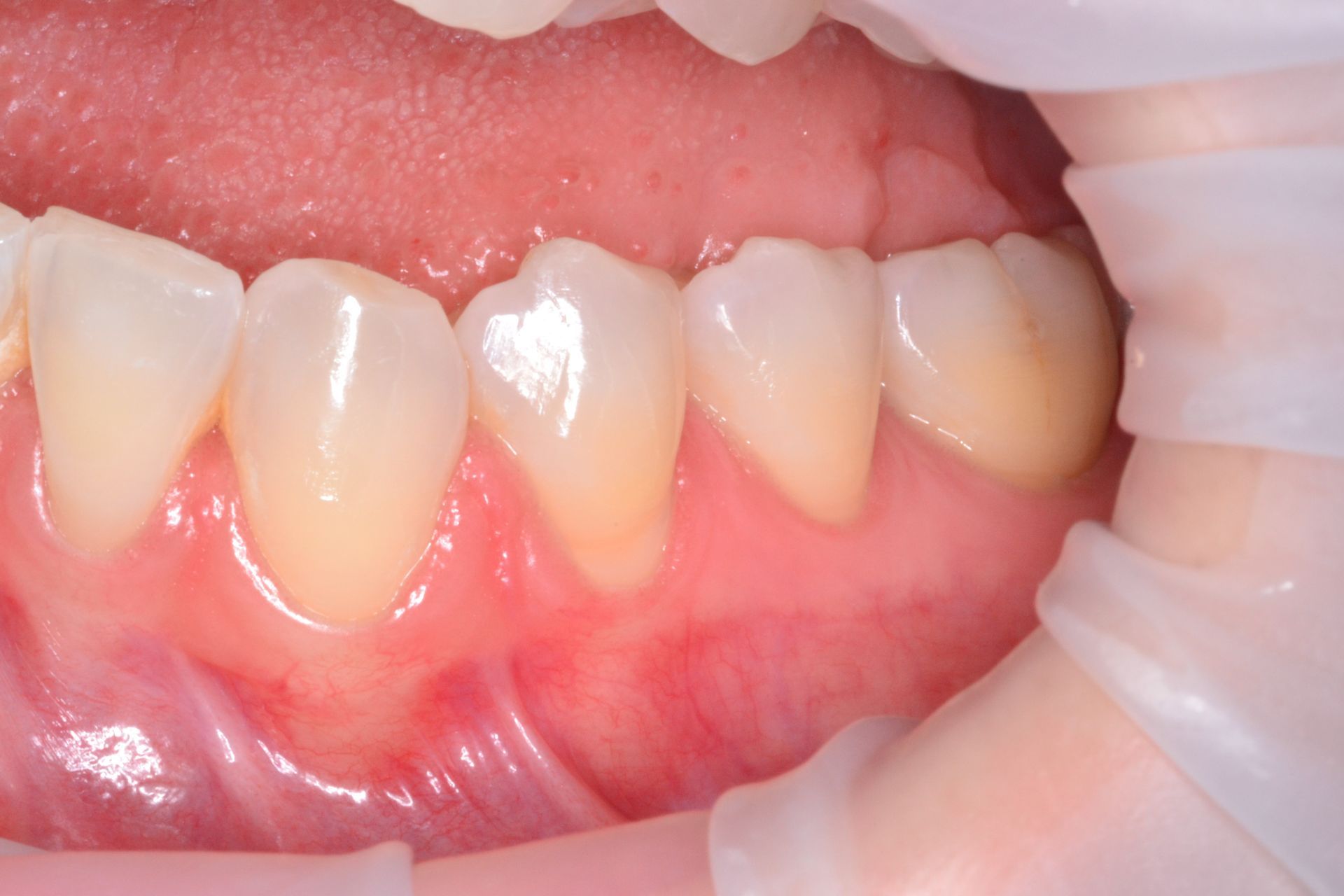
Receding gums are more than just a cosmetic issue—they can expose tooth roots, cause sensitivity, and increase your risk of decay and tooth loss. At Bluegrass Periodontics, we specialize in advanced gum treatments that stop recession in its tracks and restore the natural look and health of your gums.
Whether your gums have receded from brushing habits, genetics, gum disease, or age, we’re here to help you protect your smile and your overall oral health.
Treatment Options
At Bluegrass Periodontics, we offer a variety of state-of-the-art solutions based on your unique needs:
- Gum Grafting: Rebuild lost tissue with natural or donor grafts for long-term protection.
- Connected Tissue Grafts restore gum health and appearance by covering exposed roots with your own tissue, reducing sensitivity and preventing further recession.
- Free Gingival Grafting strengthens thin or delicate gum tissue by adding a small layer of healthy tissue, improving long-term stability and protection around your teeth.
We’ll take the time to evaluate your situation, explain your options, and create a personalized treatment plan that helps you feel comfortable and confident.
HOW IT WORKS
Compassionate Care in Lexington
Consultation
We start by listening—understanding your concerns, your goals, and your health history so we can guide you with care.
Personalized Treatment Plan
Using advanced imaging and technology, we design a plan tailored to your needs. You’ll know exactly what to expect at every step.
Gentle, Expert Care
Our team delivers treatment with precision and compassion, making your comfort and confidence our top priority.
Lasting Results & Ongoing Support
We don’t just complete a procedure—we partner with you for lifelong oral health and a smile you can trust.
Contact Us
Whether you need gum treatment, oral surgery, or dental cleanings – we are here to serve you.

